Mulanya kepala saya nyut-nyut kalo pagi, seringnya di sebelah kiri. Saya pikir apa kecapaian? Lalu sy periksa darah, memang rendah. Jadi saya cari obat penaik darah, tekanan juga, jus beat, vitamin, kopi campur wine old people (cap orang tua). Masih juga belum sembuh. Saya pikir apa ada hubungannya dengan gigi atau kacamata yang udah berkurang minusnya?

Karena gigi agak kurang nyaman untuk ngunyah, saya bikin janji dengan dentist. Ternyata ada 4 gigi saya yang perlu perawatan,.. katakan auch! Right,… auch. Sekali datang 700, kedua 600, ketiga 300, keempat 946, masih belum kesudahannya nih, sebab dari kedua dokter ituh, saya masih disuruh balik berulang kali (saya perkirakan 4+1 kali. Nah yang 3x itu untuk di’jaketin’ atau dicrown, itu sendiri sih udah di atas 3 juta, masih belum yang 2x. Ya, totol-totol sih, hanya Tuhan yang menyediaken.

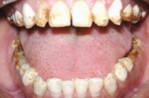
gigi-keropos_resized_1Mungkin Sis and Bro ada yang jarang ke dokter gigi. Whoah,… ternyata penting banget,… karena kita gak nyadar makan makanan yang gak keruan sehingga email gigi/lapisannya cepat hilang, gigi jadi rapuh dan menimbulkan pengeroposan. Saya heran kenapa gigi kok yang bagian tengahnya yang mudah keropos? Ini disebabkan oleh bakteri yang ditinggalkan oleh makanan yang karena jarang sikatan atau sikatannya kurang bersih.

Kalo ngomong tentang sikatan, saya ini paling rajin, alat untuk mulut saya aja ada beberapa, sikat gigi saya selalu pilih yang terbaik dan terenak (udah saya sharekan di MC), odol juga khusus, kerok lidah, listerine, dental floss… apa lagi… (lho kok malah nanya… ya, mungkin ada yang masih tertinggal.. that’s right, pencutik kotoran gigi yang dari karet, tuh khan masih ada!) Tapi kenapa masih aja kecolongan gigi bisa bermasalah?

Weleh weleh… baru saya pelajari di kesehatangigi.blogspot.co.id bahwa penyebab email gigi bisa mudah terkikis dan keropos dan berlubang, adalah dikarenakan makanan/jus/minuman yang asam-asam, permen, gula, roti/kue berkrem. Asam cuka (pempek), acar, juga sangat merusak permukaan gigi. Itu sebabnya sekarang saya sedia listerine (botol cilik) di tas, untuk kumur dan menjauhkan bakteri yang merusak gigi. Mahal bo!

Bukan hanya itu saja, ada makanan lain, silakan explore sendiri biar puas mempelajari tentang gigi. Jangan sampai nanti nyanyinya “lebih baik sakit hati daripada sakit gigi…” karena dulu pipi kiri saya pernah kayak sponge baby, karena dicabut ama dokter dan suakitnya gak ketulungan…. Jadi saya pikir jagain lebih teliti, ehh… sekian tahun berlalu masih saja saya belum maksimal belajarnya soal kegigian dan kemakanan. Sekarang keuangan yang tergerogoti selain gigi….

Gigi 2Saran saya, pergilah ke dokter gigi paling tidak 1 tahun sekali (walaupun dokter gigi menganjurkan 6 bulan sekali), tapi doktor Maq pikir sepertinya 1 tahun sekali cukup. Jangan nunggu sampai sakit gigi dan bakteri udah gerogoti kedalaman dan merusaknya sampai ke syaraf. Yang mahal-mahal harganya itu karena saya sudah harus perawatan syaraf, harus Sp.KG khusus dokternya, spesialis, pengerjaannya lama, mangapnya sampe mulut pegel, dan keluarin duitnya agak rasa gimana gitu. Mau gak balik gak bisa, mau balik harus menyerahkan isi dompet…. Duh, rasanya maksain banget deh,… ya udah saya coba nikmatin. Toch saya hamba Tuhan, semua dicover sama Bos.

Mungkin agan dan aganwati kurang telaten cutikin gigi abis sikatan (yang mana masih seaujubile kotorannya), itu lama-lama membentuk karang gigi dan membuat nafas naga.. hehe… jadi, pergilah rontokkan karang-karang gigimu ke dokter sebelum merusak semuanya. Please… listen to my plea. This is so important for yuh.